My Dentist Told Me, “I Can't Do Invisalign”
With The Help of Dr. Wollock, You CAN Do Invisalign!
Invisalign® Can Do Everything Traditional Braces Can Do
If you have been told by a dentist or orthodontist that you are not a great candidate for Invisalign, it may be because you require a more intensive treatment. Some of these cases may include:
- Overbites
- Underbites
- Crossbite
- Gap Teeth
- Open Bite
Dentists and orthodontists that discourage patients from using Invisalign to treat these issues may have had a lifetime of practice with traditional braces and would prefer to treat patients that way. But the truth is, Invisalign can work with unique situations to achieve every patient's perfect smile, without the hassle of braces.
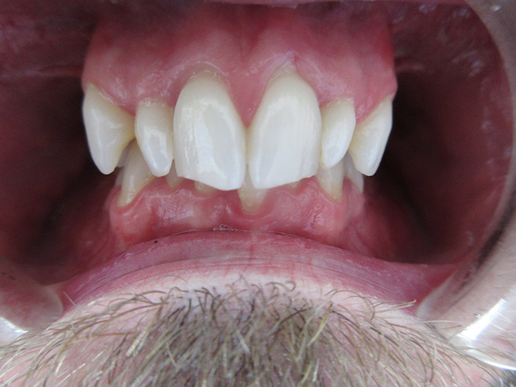
Can I Get Invisalign If I Have an Overbite?
An overbite is when the upper front teeth overlap with your lower front teeth. Overbites are one of the most common reasons patients undergo treatment for teeth realignment and most people do have some sort of overbite.
If your overbite is too large, a doctor may tell you that you have something called a “deep bite.” This can cause your teeth to wear down, which can result in cavities, gum disease, and worn tooth enamel. It also can cause jaw pain. But the good news is, Invisalign can treat overbites and deep bites!

Before

After
Can I Get Invisalign if I Have an Underbite?
An underbite is when you close your mouth and your lower teeth are in front of your upper teeth— the opposite of an overbite. Usually, this means there's a problem with your lower jaw being too far forward.
Those who have an underbite often suffer from headaches, difficulty of breathing, chewing and speaking properly. It can also cause your teeth to wear down quickly. Invisalign can be used to fix underbites.

Before

After
Can I Get Invisalign if I Have a Crossbite?
A crossbite is when you close your mouth and some of your upper teeth are sitting inside your lower teeth. Normally they should be sitting on the outside.
Having a crossbite can result in tooth decay and chipping. It can also cause headaches and muscle tension. Lastly, it can make your gums start to recede or make little notches above your gum line. This can lead to painful gum problems, or in severe cases, bone loss. Invisalign can be used to treat crossbites.

Before

After
Can I Get Invisalign if I Have Gap Teeth?
Gap teeth can also be referred to as a spacing issue. This is when you have extra space between two or more of your teeth.
Having gap teeth can create pockets between your teeth where food can get stuck, eventually causing digestive issues. It can also make your gums tender and sore, and in severe cases, it can lead to gum disease. Invisalign can fix gap teeth or any spacing issue.

Before

After
Can I Get Invisalign if I Have an Open Bite?
If your upper and lower teeth don't meet when you close your mouth, this is called an open bite.
People with open bites often experience headaches, jaw pain, and increased teeth sensitivity. It can make it hard to chew or difficult to bite into common foods, like apples. Invisalign aligners can fix an open bite.

Before

After
You CAN Get Invisalign!
Just because you have a unique smile, doesn't mean you can't get Invisalign. Dr. Wollock has the expertise to train, mentor, and teach other Invisalign® dentists across North America and our office handles more Invisalign cases than 99% of other dental practices across the United States. Dr. Wollock is experienced treating overbites, cross bites, gap teeth, underbites, open bites, and other sensitive cases.
If you have been told you aren't a good candidate for Invisalign, get a second opinion from Dr. Wollock. Traditional braces are a hassle and have a longer average treatment time than Invisalign. Learn more about the difference between these two options.

Get started with a free Invisalign consultation & payment options starting at $63/month. We won't stop until you are happy with your results!
Conveniently located in the heart of Suburban Square in Ardmore, our office is just steps away from the Apple Store and the Suburban Square Farmers Market. Whether you are coming from The Main Line or taking the train to the Ardmore Station, we provide world-class dental care in the most accessible location in the neighborhood.



























